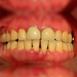
Gingivitis

Inflamación Gingival. Profundidad de bolsa de 1-3 mm. Un poco de sangrado al sondeo. No hay pérdida ósea radiográfica aparente. Movilidad normal ( menos de 0.5 mm. )

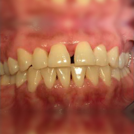
Periodontitis leve

Profundidad de bolsa de 4-5 mm. Sangrado moderado al sondeo un poco más generalizado. Pérdida ósea radiográfica de un 10-20%. Movilidad de normal a clase 1.

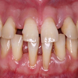
Periodontitis moderada

Profundidad de bolsa de 6 mm. Sangrado generalizado al sondeo. Pérdida ósea radiográfica de un 20-40%. Movilidad ligera clase 1 a moderada clase 2.

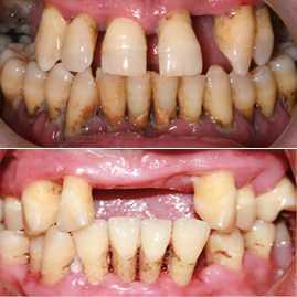
Periodontitis avanzada

Profundidad de bolsa mayor a 6 mm. Sangrado generalizado al sondeo. Pérdida ósea radiográfica mayor a un 40%. Movilidades clase 1, 2 y 3.

Periodontitis refractaria

Cualquier tipo de periodontitis que aún al haber recibido tratamiento no se logra eliminar el sangrado y las profundidades de bolsa. Asociado con el hábito de fumar tabaco.

Dr. Jorge Arturo Gutiérrez Longoria

Periodoncia e implantes exclusivamente