
Regeneración tisular guiada.
Por medio de proteínas o barreras que evitan la migración epitelilal, con este tratamiento podemos regenerar, cemento, ligamento y hueso alrededor de dientes con defectos verticales.

Por medio de proteínas o barreras que evitan la migración epitelilal, con este tratamiento podemos regenerar, cemento, ligamento y hueso alrededor de dientes con defectos verticales.

En bolsas mayores a 5mm es el tratamiento ideal para evitar que la enfermedad periodontal siga avanzando.

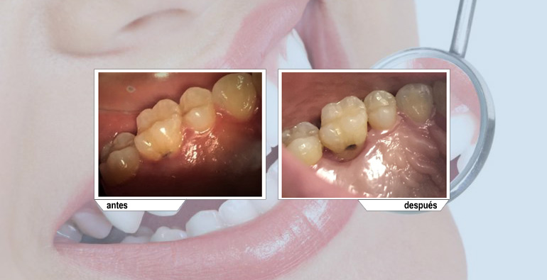
Cuando la caries o fracturas se encuentran debajo de la encía, es necesario realizar este procedimiento para poder colocar una restauración definitiva.

Cuando la cantidad de encía queratinizada es escasa lo mejor es posicionarla apicalmente y así poder realizar la restauración definitiva.