
Agrandamiento por medicamentos.
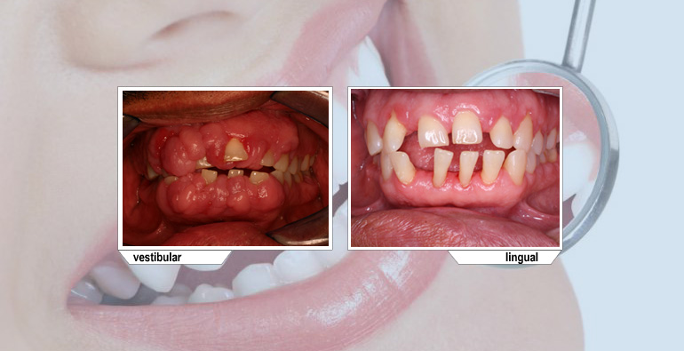
Algunos medicamentos pueden causar hiperplasia gingival, en esos casos es necesario retirar el tejido por medio de cirugía.

Algunos medicamentos pueden causar hiperplasia gingival, en esos casos es necesario retirar el tejido por medio de cirugía.

En casos de agrandamiento gingivales este tratamiento puede resultar el ideal para volver a tener una encía con características normales.

Algunas ocaciones los caninos no vienen en una posición ideal y con este precedimiento ayudamos al ortodoncista a llevarlo a su posición.

En inserciones largas del frenillo y si esta indicado es mejor eliminarlo para evitar diastemas y recesiones gingivales de los dientes involucrados.