
Injerto óseo
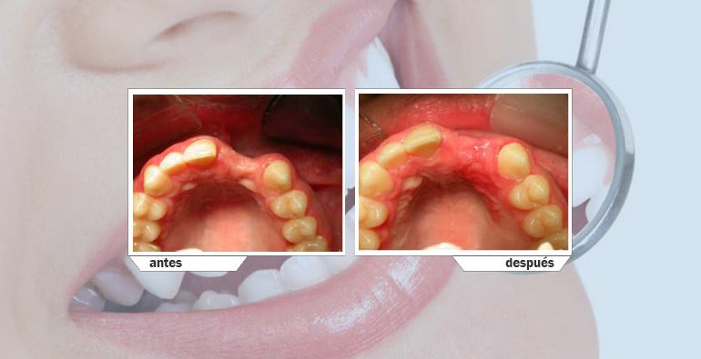
En defectos óseos alrededor de los dientes se pueden colocar injertos óseos y darle un mejor pronóstico a esos dientes.

En defectos óseos alrededor de los dientes se pueden colocar injertos óseos y darle un mejor pronóstico a esos dientes.

Procedimientos para pacientes que tienen la apariencia de dientes pequeños y quieren tener una sonrisa más estética.

Cuando hay defectos después de las extracciones es posible volver a ganar tejido en volumen y restaurar esos defectos con tejido conectivo o sustitutos.

En los casos en los que vemos que hay poca encía queratinizada y la pieza necesita ser extraída se puede realizar este tratamiento y ganar encía para futuros tratamientos.